怎样会导致你形成牙结石?
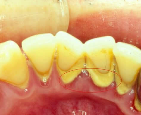
牙结石是指附着在牙齿表面的钙化块。它是在牙齿表面的牙菌斑基础上,由唾液中矿盐沉积逐渐钙化而形成的。
钙化发生于钙离子与牙菌斑的细胞间有机物质蛋白质——多糖复合物结合,然后磷酸钙晶体沉积于细胞间物质与细菌上。钙化是沿着牙菌斑附着牙面的内侧发生、持续进行的,大约数月后达到极点,由于咀嚼食物、舌颊压力等原因,牙结石不会无限制地沉积。

牙结石的形成与机体代谢情况有关,影响牙结石沉积的因素有:
一、没有掌握正确的刷牙方法或未养成刷牙、漱口等口腔卫生习惯。
二、牙面粗糙、牙排列不整齐、有不易清洁的修复体等。
三、与饮食习惯有一定关系,如若常吃软性精细的食品,牙石沉积较快,反之摄入粗糙的食物则牙石沉积受阻。
牙结石的治疗与防护
1、刷牙
早晚刷牙、饭后漱口是防治牙石形成的最重要措施。采用正确的方法-竖刷法进行刷牙,纠正横刷法。这样不仅可清除食物残渣、牙面菌斑、牙垢污物,防止牙结石的形成和沉积,而且还能起到按摩牙龈,促进血液循环,增强牙周组织的抗病能力的作用。
2、饮食
合理营养,粗细搭配。多吃富有维生素的粗纤维食物,如肉、蛋、各种蔬菜和水果,充分咀嚼以利于牙面清洁。少吃甜食及黏性很强的食物,不吃零食。
3、口腔健康检查
每半年进行一次口腔健康检查,每年进行2——3次全口洁牙,使牙面、牙颈部经常处于洁净状态。

4、洗牙
超声波洗牙,是针对清除牙齿结石部分。因为牙结石更容易造成牙菌斑的堆积,造成牙龈炎、牙龈出血,牙周病。在治疗的同时,齿颈部,邻接面的结石去除后,牙齿也会有美白的表现。洗牙的弊端有比较痛,会有出血现象,洗后牙齿表面比较粗糙,牙渍牙石还会再次出现。提倡定期、安全洗牙。
5、溶解牙石疗法
通过口含、刷牙漱口就可以看到明显效果,属于无痛去石,原理就是通过从植物中提炼而出的精华成分,跟牙石这种化学衍生物发生反应,从而达到深入牙龈溶解牙石的功效,牙结石脱落恢复牙齿表面原有的光泽,通过刷牙可将已溶解的龈下牙石清理出来,之后还能在牙齿表面加上一层保护膜,让牙石不再容易重新附着。
6、漂白
这种方式一般采用化学药物把牙齿表面漂白,而非真正的治疗,其实不可取,一是没达到治疗的效果,二是对牙齿本身会有较严重损伤。